Especialistas em Implantes Dentários no Porto

Com mais de 30 anos de experiência, recupere a confiança do seu sorriso. Somos a clínica de referência em implantologia avançada, servindo o Porto e toda a área metropolitana com tratamentos sem dor.

LIGAR +351 918 688 709
Opção de pagamento faseado sem juros
Paciente Feliz Paciente Satisfeito Paciente Sorridente

Centenas de Sorrisos Recuperados

Agendar Consulta

Preencha os seus dados abaixo para uma resposta rápida.

+30 Anos de Experiência
Avaliação 4.7 Estrelas no Google
Tecnologia 3D Avançada

A Sua Clínica de Confiança no Porto

Procura uma clínica de confiança especializada em Implantes Dentários no Porto? Não procure mais. Com mais de 30 anos de experiência clínica, na Implantes Dentários Porto, somos dedicados a transformar sorrisos e a devolver a função mastigatória aos nossos pacientes. Quer necessite de substituir um único dente, vários dentes ou realizar uma reabilitação total, a nossa equipa de médicos dentistas experientes está aqui para tornar a sua visão realidade.

Colocar implantes é a forma mais duradoura de substituir dentes perdidos sem danificar os dentes vizinhos. Como líderes em implantologia no Porto, gerimos cada aspeto do seu tratamento, desde o planeamento 3D inicial e cirurgia, até à colocação da coroa final com a máxima estética e naturalidade.

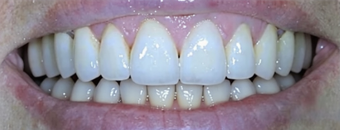
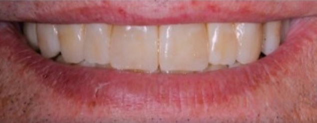
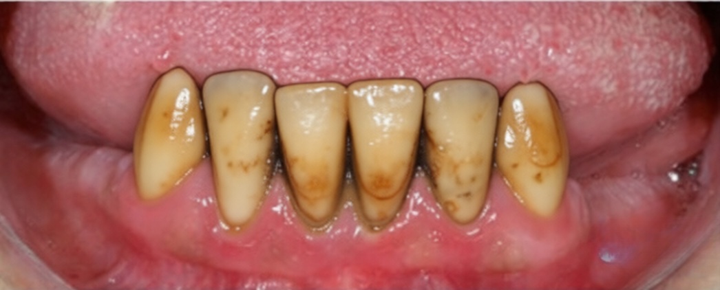
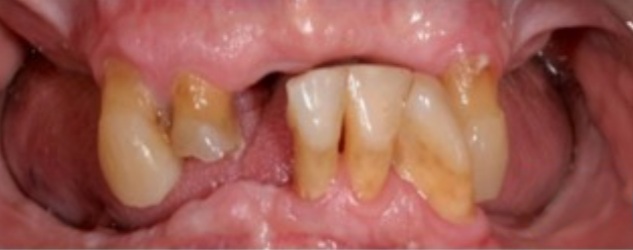
Veja a Transformação

Casos reais de pacientes que recuperaram a estética e a função mastigatória na nossa clínica no Porto. Arraste para a esquerda ou direita para ver os resultados.

Depois Antes Antes Depois

Prótese Protocolo

O paciente recuperou a arcada superior completa num único dia, passando de ausência de dentes para um sorriso fixo e natural.

Depois Antes Antes Depois

Implante Unitário

Substituição de um dente frontal fraturado. A nova coroa de cerâmica foi adaptada milimetricamente à cor dos dentes vizinhos.

Depois Antes Antes Depois

Múltiplos Implantes

Recuperação da zona de mastigação posterior com implantes de titânio, devolvendo a capacidade de comer alimentos rijos sem dor.

Os Nossos Tratamentos

Implante Unitário

Substituição de um único dente perdido com uma coroa cerâmica perfeitamente adaptada à cor dos seus dentes naturais.

Saber Mais

Prótese Protocolo

A solução definitiva para dentes perdidos. Substitua uma arcada inteira suportada por implantes, de forma fixa e permanente.

Saber Mais

Enxerto Ósseo

Procedimentos avançados de regeneração óssea para pacientes que perderam volume ósseo maxilar ao longo do tempo.

Saber Mais

Simule o Seu Tratamento

Responda a estas 4 questões rápidas para nos ajudar a compreender o seu caso antes de entrarmos em contacto consigo.

Quantos dentes precisa de substituir? *

1 Dente

2-3 Dentes

Arcada Inteira

Não tenho a certeza

O Processo em 5 Passos

1

Consulta

Consulta de diagnóstico com TAC 3D para planear o seu caso com rigor cirúrgico.

2

Plano e Preço

Apresentação de um plano claro e transparente, sem custos ocultos ou surpresas.

3

Cirurgia Guiada

Colocação rápida e indolor dos implantes, muitas vezes com sedação consciente.

4

Integração

Período de cicatrização onde o titânio se funde perfeitamente com o osso do maxilar.

5

Sorriso Final

Afixação das coroas cerâmicas definitivas. Volte a sorrir com total confiança!

O Que Dizem os Nossos Pacientes

"Serviço de excelência. O Dr. Hiram Trindade é um incrível profissional e toda a equipa vai além para garantir que o serviço é 5*."

- Bruno Gomes

"Os melhores profissionais na área de medicina dentária! De uma qualidade e profissionalismo de excelência!"

- Ingrid Monteiro

"Competência + Humanismo = Garantia de ótimo atendimento! Parabéns!!"

- Rubens Azevedo

Perguntas Frequentes

A colocação de implantes dói?

Não. A cirurgia é realizada com anestesia local de alta eficácia. Garantimos um procedimento confortável e livre de dor. Oferecemos também opções de sedação consciente para pacientes mais ansiosos.

Quanto tempo demora todo o processo?

Depende do tratamento. A cirurgia para um implante unitário demora cerca de 30 a 45 minutos. Em casos de Prótese Protocolo, pode sair com dentes fixos no mesmo dia. Para a coroa definitiva, é necessário aguardar a integração óssea (geralmente 2 a 4 meses).

Existem facilidades de pagamento?

Sim. Acreditamos que a saúde oral deve ser acessível. Após a consulta inicial, apresentamos o plano de tratamento com o orçamento fechado e discutimos várias modalidades de pagamento adequadas ao seu caso.

Como Chegar à Nossa Clínica

A nossa clínica está localizada numa das artérias mais centrais e acessíveis do Porto (Rua do Campo Alegre). Veja a nossa proximidade em relação a locais icónicos da cidade.

De carro

Chegar à Rua do Campo Alegre, no Porto, de carro é relativamente simples, pois esta é uma das principais artérias da cidade, ligando a zona da Boavista à Foz e aos acessos da VCI (Via de Cintura Interna).

Estacionar na Rua do Campo Alegre, no Porto, é possível na via pública (paga e com tempo limitado, cerca de 0,60€/hora) ou em parques cobertos, como o SABA Campo Alegre.

M

De metro

Esta é a opção direta se preferir andar. Apanhe qualquer linha que passe pela Casa da Música (Linhas A, B, C, E ou F).

Saia na estação Casa da Música.
Caminhe em direção ao Sul, no seguimento pela rua junto ao Mercado Bom Sucesso / Shopping Center Porto encontrará a Rua do Campo Alegre, situamo-nos na porta nº 770.

STCP

De autocarro

Planetário

Paragem de autocarro

1M 200 204 207 209 ...

Pontos de referência próximos da clínica

Casa da Música
Palácio de Cristal
Ponte da Arrábida