Implante Unitário no Porto

Falta-lhe um dente? Substitua-o por um implante de titânio duradouro e uma coroa cerâmica perfeitamente adaptada à cor do seu sorriso, sem necessidade de desgastar os dentes saudáveis.

AGENDAR CONSULTA
Opção de pagamento faseado sem juros
+30 Anos de Experiência
Avaliação 4.7 Estrelas no Google
Tecnologia 3D Avançada

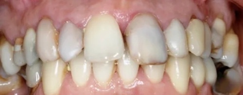
O Que é um Implante Unitário?

O implante unitário é a solução de excelência para a substituição de um único dente em falta. Consiste num pequeno parafuso de titânio biocompatível, colocado de forma indolor no osso maxilar, que atua como raiz artificial. Sobre este implante é afixada uma coroa cerâmica altamente estética.

  • Estética Natural: A coroa de cerâmica é desenhada para combinar perfeitamente com a cor e formato dos seus dentes originais.
  • Preserva os Dentes Vizinhos: Ao contrário das pontes tradicionais, o implante não exige o desgaste dos dentes saudáveis adjacentes.
  • Prevenção de Perda Óssea: O pino de titânio atua como uma raiz artificial, estimulando o maxilar e evitando o envelhecimento facial precoce.
Implante Dentário Unitário no Porto

Veja a Transformação

Casos reais de pacientes que recuperaram a estética e a função mastigatória na nossa clínica. Arraste para a esquerda ou direita para ver os resultados.

Depois Antes Antes Depois

Implante Unitário

Substituição de um dente frontal fraturado. A nova coroa de cerâmica foi adaptada milimetricamente à cor dos dentes vizinhos.

Depois Antes Antes Depois

Múltiplos Implantes

Recuperação da zona de mastigação posterior com implantes de titânio, devolvendo a capacidade de comer alimentos rijos sem dor.

Simule o Seu Tratamento

É rápido e fácil. Preencha o questionário de 30 segundos abaixo para podermos analisar o seu caso.

Onde se localiza o dente que precisa de substituir? *

Dente da Frente (Estético)

Dente de Trás (Molar/Mastigação)

Sobre os Custos do Implante Unitário

Muitos pacientes assumem que o custo anunciado de um "implante" inclui o dente final, mas a realidade médica é que o tratamento divide-se em componentes. Na nossa clínica no Porto, prezamos pela transparência total. O tratamento completo (do início ao fim) engloba 3 fases fundamentais:

1. O Implante

A raiz artificial de titânio (o parafuso em si) que é colocada cirurgicamente no osso maxilar.

2. O Pilar (Abutment)

A peça conectora que une o implante de titânio (que está debaixo da gengiva) à coroa visível.

3. A Coroa Cerâmica

O "dente" visível fabricado em laboratório, desenhado para igualar a forma e cor dos seus dentes naturais.

*Nota: Fatores adicionais como a necessidade de extrair o dente danificado primeiro, ou a necessidade de um pequeno enxerto ósseo (se o dente faltar há muitos anos) podem alterar o plano de tratamento.

Casos de Sucesso Unitários

"Serviço de excelência. O Dr. Hiram Trindade é um incrível profissional e toda a equipa vai além para garantir que o serviço é 5*."

- Bruno Gomes

"Os melhores profissionais na área de medicina dentária! De uma qualidade e profissionalismo de excelência!"

- Ingrid Monteiro

Perguntas Frequentes sobre Implantes Unitários

Vou ficar "desdentado" durante o processo de cicatrização?

Não. Se o dente em falta for numa zona estética (à frente), garantimos sempre a colocação de uma coroa provisória (seja fixa ao implante no mesmo dia, ou uma solução removível temporária) para que a sua imagem nunca seja afetada.

O procedimento é muito doloroso?

A colocação de um implante unitário é uma cirurgia minimamente invasiva e muito precisa. É realizada sob anestesia local, pelo que não sentirá qualquer dor durante a intervenção. No pós-operatório, pode sentir um ligeiro desconforto, perfeitamente controlável com medicação analgésica comum.

Quanto tempo demora a cirurgia?

A fase cirúrgica para a colocação de um único implante é bastante rápida. Habitualmente, demora apenas entre 30 a 45 minutos na cadeira do dentista.

O implante parece artificial?

Absolutamente não. A coroa cerâmica final é desenhada em laboratório com base num molde (ou scan 3D) dos seus dentes. Os nossos técnicos de prótese garantem que a cor, o brilho e a textura sejam exatamente iguais aos dos seus dentes naturais adjacentes.

Precisa de substituir um dente com urgência?

A nossa equipa no Porto está pronta para analisar o seu caso e devolver a funcionalidade ao seu sorriso.

LIGAR PARA A CLÍNICA

Como Chegar à Nossa Clínica

A nossa clínica está localizada numa das artérias mais centrais e acessíveis do Porto (Rua do Campo Alegre). Veja a nossa proximidade em relação a locais icónicos da cidade.

De carro

Chegar à Rua do Campo Alegre, no Porto, de carro é relativamente simples, pois esta é uma das principais artérias da cidade, ligando a zona da Boavista à Foz e aos acessos da VCI (Via de Cintura Interna).

Estacionar na Rua do Campo Alegre, no Porto, é possível na via pública (paga e com tempo limitado, cerca de 0,60€/hora) ou em parques cobertos, como o SABA Campo Alegre.

M

De metro

Esta é a opção direta se preferir andar. Apanhe qualquer linha que passe pela Casa da Música (Linhas A, B, C, E ou F).

Saia na estação Casa da Música.
Caminhe em direção ao Sul, no seguimento pela rua junto ao Mercado Bom Sucesso / Shopping Center Porto encontrará a Rua do Campo Alegre, situamo-nos na porta nº 770.

STCP

De autocarro

Planetário

Paragem de autocarro

1M 200 204 207 209 ...

Pontos de referência próximos da clínica

Casa da Música
Palácio de Cristal
Ponte da Arrábida